
อากาศที่ร้อนจัด ทำให้หนุ่มจีนวัย 22 ปี เกิดความกระหายน้ำอย่างหนัก จนถึงขั้นดื่มน้ำอัดลม "Coca Cola" ขนาด 1.5 ลิตร รวดเดียวและหมดภายในเวลา 10 นาที ทำให้เกิดอาการ "ตับวาย" และแม้จะระดมทีมแพทย์ยื้อชีวิตไว้ 18 ชั่วโมงก็ไม่สำเร็จ
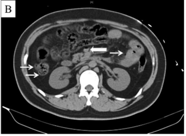
ภาพถ่ายซีทีสแกนของหนุ่มจีนที่ไม่ได้รับการเปิดเผยชื่อ ถูกนำตัวส่งโรงพยาบาลจ้าวหยาง ในกรุงปักกิ่ง หลังมีอาการปวดท้องรุนแรง และท้องบวม เขาบอกกับแพทย์ว่า เมื่อ 6 ชั่วโมงก่อน เขาดื่มน้ำอัดลม "Coca Cola" ขนาด 1.5 ลิตร หมดใน 10 นาที เพื่อบรรเทาความกระหาย เนื่องจากอากาศร้อน
ซึ่งแพทย์วินิจฉัยว่า การดื่มน้ำอัดลมในปริมาณที่มากและรวดเร็วขนาดนั้น ทำให้เกิดการสะสมของแก๊สในลำไส้ และรั่วเข้าไปในหลอดเลือดดำพอร์ทัล ซึ่งเป็นหนึ่งในหลอดเลือดหลักที่ไปเลี้ยงตับ และไปยังส่วนอื่นๆ ของร่างกายอีกด้วย
การปวดท้องอย่างรุนแรงของคนไข้รายนี้ มีข้อสันนิษฐานว่า อาจมีข้อบกพร่องจาก transjugular intrahepatic portosystemic ( TIPSS ) เป็นช่องเทียมภายในตับที่สร้างการสื่อสารระหว่างการไหลเข้าหลอดเลือดดำพอร์ทัลและการรั่วไหลเส้นเลือดตับ ซึ่งมันถูกใช้ในการรักษาความดันโลหิตสูงพอร์ทัล (ซึ่งมักจะเกิดจากโรคตับแข็ง ) ซึ่งบ่อยครั้งนำไปสู่การมีเลือดออกในลำไส้ที่คุกคามชีวิต ทำให้มีเลือดออกหลอดอาหาร (varices ) และการสะสมของของเหลวภายในช่องท้อง (น้ำในช่องท้อง) ทำให้การทำงานของอวัยวะภายในบกพร่องและเสียชีวิตในที่สุด