
ชวนคอข่าวติดตามรายงานทางวิชาการที่น่าสนใจ
อีกหนึ่งบทความรายงานความเคลื่อนไหวทางด้านวิชาการ ล่าสุด คุณหมอมนูญ ลีเชวงวงศ์ หัวหน้าห้องไอซียูเฉพาะทางด้านโรคระบบการหายใจ ผู้ป่วยหนัก และโรคผู้สูงอายุ ประจำโรงพยาบาลวิชัยยุทธ ได้โพสต์เผยกรณีศึกษา ที่น่าสนใจผ่าน เพจเฟซบุ๊ก “หมอมนูญ ลีเชวงวงศ์ FC”
โดยบทความล่าสุด ทาง "คุณหมอมนูญ" เปิดเผย เคสสุดเศร้า และสุดช็อก บีบหัวใจคอข่าวมากทีเดียว โดยระบุว่า พบกรณี ผู้ป่วยชาย 70 ปี ช่วงโควิด-19 ระบาด ไม่ได้เข้ามารับการตรวจร่างกายมากกว่า 2 ปี ซึ่งปกติมาทุกปี ต่อมาตรวจพบ "มะเร็งระยะสุดท้าย" รักษาไม่ทันการณ์ เสียชีวิตอย่างสงบในรพ.วันที่ 20 พฤศจิกายน 2565 ที่ผ่านมา
‘โควิด’ ทำคนเสียโอกาสตรวจพบโรค ผู้ป่วยหาหมออีกครั้ง รักษามะเร็งไม่ทัน
คุณหมอเตือนเรื่องค่าฝุ่น PM2.5 อย่าพลาดชม >>
‘โควิด’ ทำคนเสียโอกาสตรวจพบโรค ผู้ป่วยหาหมออีกครั้ง รักษามะเร็งไม่ทัน สุดท้ายเสียชีวิต!!
..
นพ.มนูญ ลีเชวงวงศ์ แพทย์เฉพาะทางด้านโรคระบบการหายใจ โรงพยาบาลวิชัยยุทธ ได้ออกมาโพสต์ข้อความผ่านแฟนเพจเฟซบุ๊ก หมอมนูญ ลีเชวงวงศ์ โดยระบุว่า
"ช่วงโรคโควิดแพร่ระบาด คนกลัวไม่กล้าออกนอกบ้าน ไม่มาตรวจร่างกายประจำปี ทำให้หลายคนพลาดโอกาส ตรวจพบมะเร็งระยะต้น มาพบอีกครั้งเป็นมะเร็งระยะสุดท้าย
สายเกินไป ช่วยไม่ทันแล้ว ทั่วโลกประสบปัญหาเดียวกันช่วงการแพร่ระบาดของโรคโควิด คนเสียชีวิตจากมะเร็งเพิ่มขึ้นมากเพราะได้รับการวินิจฉัยช้าไป
ผู้ป่วยชายอายุ 70 ปี เป็นเบาหวาน ความดันสูง เคยสูบบุหรี่ 1 ซองต่อวัน หยุดสูบมา 10 ปี
บ้านอยู่จังหวัดสงขลา ปกติมาตรวจร่างกายประจำทุกปี แต่ช่วงโควิดแพร่ระบาด ไม่ได้เดินทางมาตรวจร่างกายมากกว่า 2 ปี
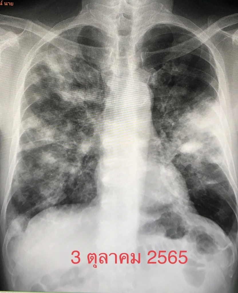
เริ่มไอแห้งๆ 3 สัปดาห์ เบื่ออาหารน้ำหนักลด 2 กิโลกรัม เหนื่อยบ้าง มาพบแพทย์วันที่ 3 ตุลาคม 2565
ตรวจร่างกาย ผอมลง เอกซเรย์ปอดมีฝ้าขาวทั้ง 2 ข้าง เอกซเรย์ปอดครั้งก่อนวันที่ 18 กุมภาพันธ์ 2563 ปกติ ทำคอมพิวเตอร์ปอดเห็นฝ้าขาวทั้งปอดซ้ายและปอดขวา
ค่ามะเร็ง CEA ในเลือดสูง 7.4 เจาะชิ้นเนื้อจากปอดด้านซ้าย ส่งตรวจไม่พบเชื้อวัณโรค ไม่พบเชื้อรา ตรวจทางพยาธิวิทยา พบเป็นมะเร็งปอดชนิด adenocarcinoma
สรุป: ผู้ป่วยเป็นมะเร็งปอดระยะสุดท้าย ส่งตรวจพิเศษไม่พบยีนกลายพันธุ์ ใช้ยามุ่งเป้าและภูมิคุ้มกันบำบัดไม่ได้ ผู้ป่วยไอ และเหนื่อยมากขึ้น ต้องใช้ออกซิเจนตลอดเวลา ให้เคมีบำบัดครั้งแรกแต่รับไม่ไหว เสียชีวิตอย่างสงบในรพ.วันที่ 20 พฤศจิกายน 2565"
ขอขอบคุณที่มา หมอมนูญ