
3 มีนาคม 2565 นายแพทย์มนูญ ลีเชวงวงศ์ แพทย์ผู้เชี่ยวชาญด้านระบบทางเดินหายใจ โรงพยาบาลวิชัยยุทธ โพสต์ข้อความผ่านเฟซบุ๊ก “หมอมนูญ ลีเชวงวงศ์ FC” ช่วงนี้มีคนติดเชื้อไวรัสโควิด-19 สายพันธุ์โอมิครอนกันเยอะมาก คนที่ได้รับวัคซีนแอสตร้าเซนเนก้า 2 เข็มแล้วกระตุ้นด้วยวัคซีน mRNA ไฟเซอร์ หรือโมเดอร์นา 1 เข็ม กับคนที่ได้วัคซีนเชื้อตาย 2 เข็ม ตามด้วยแอสตร้าเซนเนก้า 1 เข็มและกระตุ้นด้วยวัคซีนไฟเซอร์ หรือโมเดอร์นาอีก 1 เข็ม
หากติดเชื้อ ขออย่าวิตกกังวล กลัวมากเกินไป เพราะคนกลุ่มนี้ที่ได้รับวัคซีน จะมีอาการน้อยมากเหมือนไข้หวัดธรรมดา หรืออาจไม่มีอาการเลยก็ได้ ผมให้ดูตัวอย่างผู้ป่วยสูงอายุ มีโรคประจำตัวเรื้อรัง ถึงติดเชื้อก็ไม่เป็นไร เพราะได้รับวัคซีนครบโดส และเข็มกระตุ้นแล้ว ไม่จำเป็นต้องกินยาฟาวิพิราเวียร์ เชื้อไม่ลงปอด
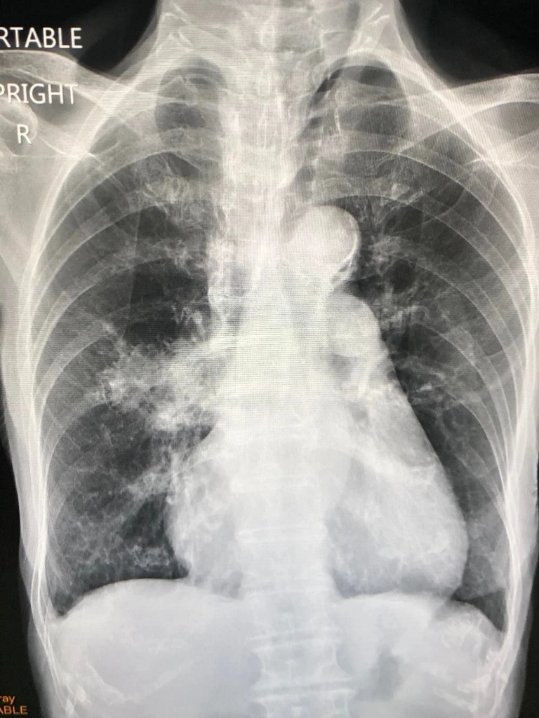
ผู้ป่วยหญิงไทยอายุ 85 ปี ได้รับวัคซีนแอสตร้าเซนเนก้า 2 เข็ม มิย. 64 และ กย. 64 กระตุ้นเข็ม 3 ด้วยวัคซีนโมเดอร์นา 19 ม.ค. 65 เริ่มมีไข้ต่ำๆ ไอ เสมหะสีขาว มีน้ำมูกเล็กน้อย 3 วันก่อนมารพ.ไม่เจ็บคอ ไม่เหนื่อย จมูกได้กลิ่น ลิ้นได้รส ไม่ท้องเสีย มีโรคประจำตัวหอบหืด ต้องใช้ยาพ่นขยายหลอดลมที่บ้าน และมีโรคหัวใจ เคยผ่าตัดหัวใจมาก่อน ลูกชายเพิ่งติดเชื้อไวรัสโควิดก่อนหน้านี้ไม่กี่วัน ตรวจร่างกาย ฟังเสียงปอดปกติ วัดระดับออกซิเจนที่ปลายนิ้วปกติ เอกซเรย์หัวใจโต แต่ปอดปกติ ตรวจ RT-PCR SARS-CoV2 เมื่อวันที่ 23 กุมภาพันธ์ 65 ให้ผลบวก ถึงแม้ผู้ป่วยรายนี้มีอาการน้อย แต่มีความเสี่ยงเนื่องจากอายุมาก มีโรคหอบหืด โรคหัวใจ จึงให้เข้านอนสังเกตอาการในโรงพยาบาล
ระหว่างอยู่รพ.ผู้ป่วยไม่มีไข้ ไอเล็กน้อย ไม่เหนื่อย วัดระดับออกซิเจนปกติ ไม่ได้ให้ ยาฟาวิพิราเวียร์ ให้ยาแก้ไอ รักษาตามอาการ และให้ยาประจำตัวของผู้ป่วย ผู้ป่วยดีขึ้นต่อเนื่อง เอกซเรย์ปอดซ้ำ 1 สัปดาห์ต่อมา ปอดปกติ ให้กลับบ้านได้ (ดูรูป)
ขอให้คนสูงอายุ คนที่มีโรคประจำตัว 7 โรค และหญิงตั้งครรภ์ที่ยังไม่ได้ฉีดวัคซีนเข็มแรก รวมทั้งคนที่ได้รับวัคซีน 2 เข็ม และยังไม่ได้ฉีดเข็มกระตุ้น รีบไปฉีดโดยด่วน ไวรัสโควิด-19 สายพันธุ์โอมิครอนอยู่ใกล้ตัวเรามากขึ้นทุกวัน ถ้าไม่ฉีด คนกลุ่มนี้เมื่อติดเชื้อ มีความเสี่ยงสูงที่เชื้ออาจลงปอด เกิดปอดอักเสบ ระบบหายใจล้มเหลว ต้องใส่เครื่องช่วยหายใจ ถึงแม้วัคซีนจะไม่ป้องกันการติดเชื้อ แต่ช่วยลดความรุนแรงของโรค ลดการป่วยหนัก และการเสียชีวิตได้แน่นอน