
อีกหนึ่งข่าวเศร้า วงการนาฏยสังคีตและศิลปะไทย ที่ได้สูญเสียบุคลากรที่ทรงคุณค่าระดับบรมครู ไปเมื่อ 5 พ.ย.2565 ที่ผ่านมา เมื่อ "ครูมืด" หรือ นายประสาท ทองอร่าม ได้เสียชีวิตลงด้วยสาเหตุ โรคมะเร็งปอด หลังป่วยเป็นมะเร็งมาตั้งแต่ปี 2564 และรักษาจนดีขึ้นแต่อาการมากำเริบเมื่อ 12 ต.ค.ที่ผ่านมาและเข้ารักษาตัวที่ รพ.จุฬาฯ กระทั่งสิ้นลมอย่างสงบ
โดยทางครอบครัวและญาติ กำลังดำเนินการ ขอพระราชทานน้ำหลวงอาบศพ โดยกำหนดจัดพิธีทางศาสนาที่ วัดบางรักใหญ่ จ.นนทบุรี และจะมีพิธีรดน้ำศพ ในวันจันทร์ที่ 7 พ.ย. นี้ เวลา 14.00 น.
โรคมะเร็งปอด หนึ่งภัยร้าย ได้คร่าชีวิตศิลปินดารา นักแสดงตลก ที่เป็นข่าวในปี 2565 นี้ ไม่ว่าจะเป็น
“หม่อมน้อย” หม่อมหลวงพันธุ์เทวนพ เทวกุล
น้าเฉื่อย ระเบิดเถิดเทิง
วิทยา ศุภพรโอภาส
"เอก" สรพงศ์ ชาตรี
"อาต้อย" เศรษฐา ศิระฉายา
จับตา!!
โรค "มะเร็งปอด" โรคนี้มีความน่ากลัวสักแค่ไหน ชวนคอข่าวเนชั่นออนไลน์ มาทบทวน ทำความรู้จักกับภัยร้ายภัยเงียบเจ้าโรคนี้ กันอีกครั้ง
"เนชั่นออนไลน์" ขอนำข้อมูลสาระดีๆ ข้อควรรู้เกี่ยวกับโรคร้าย ภัยรายชนิดนี้ว่า มีอาการบ่งชี้ สัญญาณเตือนแบบไหนบ้าง การรักษามีกี่วิธี ปัจจัยเสี่ยงที่จะทำให้เกิดโรคนี้ ทั้งนี้เพื่อหลีกเลี่ยง ป้องกัน ลดความเสี่ยงในการเกิดโรคร้ายนี้
มะเร็งปอดพบมากที่สุดในโลก
มะเร็งปอด ถือเป็นมะเร็งที่พบมากที่สุดทั่วโลก สำหรับประเทศไทย ยังคงเป็นสาเหตุของการเสียชีวิตเป็นอันดับ 2 ของคนไทย (ในผู้ชายรองจากมะเร็งตับและเป็นอันดับ 1 ในผู้หญิง) แต่ละปีจะมีผู้ป่วยรายใหม่ประมาณ 17,222 ราย เป็นเพศชาย 10,766 ราย และเพศหญิง 6,456 ราย ในจำนวนนี้มีผู้เสียชีวิตประมาณ 14,586 ราย หรือคิดเป็น 40 รายต่อวัน
ปัจจัยเสี่ยงและสาเหตุของโรคมะเร็งปอด
การสูบบุหรี่รวมถึงยามวนต่างๆ เป็นสาเหตุสำคัญที่สุดของโรคมะเร็งปอด ผู้สูบบุหรี่อาจมีโอกาสเป็นมะเร็งปอดมากกว่าผู้ไม่สูบถึง 10 เท่า รวมถึงผู้ที่ไม่ได้สูบบุหรี่เองโดยตรง แต่สูดดมจากบุหรี่ที่ผู้อื่นสูบก็มีความเสี่ยงสูงกว่าคนทั่วไป เพราะในควันบุหรี่มีสารก่อมะเร็งมากกว่า 60 ชนิด
ได้รับแร่ใยหิน (แอสเบสตอส) เป็นแร่ที่ใช้ในอุตสาหกรรมหลายชนิด เช่น การก่อสร้าง โครงสร้างอาคาร ผ้าเบรก ฉนวนกันความร้อน ผู้เสี่ยงคือผู้ที่อาศัยหรือทำงานอยู่ในสภาพแวดล้อมที่มีแอสเบสตอสปนเบื้อนเป็นเวลานาน อาจใช้เวลา 15-35 ปี ในการทำให้เกิดมะเร็งปอด สำหรับผู้ไม่สูบบุหรี่แต่ทำงานกับฝุ่นแอสเบสตอส อาจเสี่ยงต่อการเกิดมะเร็งปอดมากกว่าคนทั่วไปถึง 5 เท่า
สาเหตุอื่นๆ มลภาวะเช่น PM 2.5 สารเบนซิน ฟอร์มาลดีฮายด์ เป็นต้น
มะเร็งปอดมีสัญญาณเตือน
แนวทางการรักษา
การรักษามีทั้งการผ่าตัด การใช้ยา การฉายแสง หรือรักษาร่วมกันหลายวิธี เนื่องจากมะเร็งปอดการตรวจคัดกรองให้พบโรคในระยะแรกทำได้ยาก และ มีอัตราตายสูง
ดังนั้นการหลีกเลี่ยงปัจจัยเสี่ยง เช่น งดสูบบุหรี่ ป้องกันตัวจากการสัมผัสแร่ใยหิน หรือ มลภาวะ หลีกเลี่ยงอาหารไขมันสูง รับประทานผักผลไม้ให้มากขึ้น ออกกำลังกายสม่ำเสมอและพักผ่อนให้เพียงพอเพื่อเพิ่มภูมิคุ้มกันของร่างกาย และ รีบมาพบแพทย์เมื่อมีอาการผิดปกติจึงเป็นสิ่งสำคัญ
เกาะติดสถานการณ์ของ โรคมะเร็ง ในภาพรวมของประเทศไทย จากสถิติพบว่าโรคมะเร็งเป็นสาเหตุการเสียชีวิตอันดับ 1 คิดเป็นร้อยละ 16 ของเหตุการเสียชีวิตทั้งหมด สูงกว่าอัตราการเสียชีวิตจากอุบัติเหตุ และโรคหัวใจเฉลี่ย 2 ถึง 3 เท่า หรือมีผู้เสียชีวิตจากโรคมะเร็งเฉลี่ย 8 รายต่อชั่วโมง ในปี พ.ศ. 2561 พบว่ามีจำนวนผู้ป่วยรายใหม่ โดยประมาณอยู่ที่ 170,495 ราย และเสียชีวิตจากโรคมะเร็งประมาณ 114,199 ราย สำหรับ 5 อันดับแรกของ มะเร็งที่พบบ่อยที่สุด ได้แก่ มะเร็งปอด มะเร็งตับและท่อน้ำดี มะเร็งเต้านม มะเร็งลำไส้ใหญ่ และ มะเร็งถุงน้ำดี โดยโรคมะเร็งที่ทำให้เสียชีวิตมากที่สุด 5 อันดับแรก ได้แก่ มะเร็งตับและท่อน้ำดี มะเร็งปอด มะเร็งถุงน้ำดี มะเร็งเต้านม และมะเร็งลำไส้ใหญ่ ตามลำดับ
ปัจจุบันนี้ โรคมะเร็ง ถือเป็นปัญหาทางสาธารณสุขที่สำคัญของประชากรทั่วโลกรวมทั้งประเทศไทย จากสถิติขององค์การอนามัยโลกในปี พ.ศ. 2561 คาดการณ์ว่ามีจำนวนผู้ป่วยทั่วโลกที่ได้รับการวินิจฉัยว่าเป็นโรคมะเร็งประมาณ 18 ล้านคน และเสียชีวิตจากโรคมะเร็งประมาณ 9.6 ล้านคน หรือกล่าวได้ว่า 1 ใน 6 รายของการเสียชีวิตเกิดจากโรคมะเร็ง
โรคมะเร็งปอด สาเหตุการเสียชีวิตอันดับต้นๆ ของโรคมะเร็งในประเทศไทย นับเป็นการสูญเสียครั้งใหญ่ในวงการบันเทิง ที่ได้สูญเสียตลกชื่อดังในวันนี้ น้าเฉื่อย ระเบิดเถิดเทิง และก่อนหน้านี้พระเอกชื่อดังระดับตำนาน พี่เอก สรพงศ์ ชาตรี จากไปอย่างสงบด้วยโรคมะเร็งปอด ล่าสุด ครูมืด ประสาท อร่ามทอง ก็โดนคร่าชีวิตจากเจ้ามะเร็งปอดด้วยเช่นกัน
โรคมะเร็งปอด เป็นโรคที่พบได้มากในประเทศไทย และเป็นสาเหตุของการเสียชีวิตอันดับต้นๆ ของทั้งเพศชายและเพศหญิง อย่างไรก็ดี มะเร็งปอดสามารถรักษาให้หายได้หากตรวจพบตั้งแต่ในระยะต้น
ชนิดของโรคมะเร็งปอด ?
มะเร็งปอดเกิดจากการเจริญเติบโตของเซลล์ที่ผิดปกติอย่างรวดเร็วและไม่สามารถควบคุมได้ ทำให้เกิดเป็นกลุ่มก้อนของเซลล์ที่ผิดปกติ ซึ่งจะตรวจพบได้เมื่อมีขนาดใหญ่ มีจำนวนมาก และแพร่ไปตามบริเวณต่างๆ ของร่างกาย มะเร็งปอดจะทำลายชีวิตของผู้ป่วยได้รวดเร็วแค่ไหนขึ้นอยู่กับชนิดของมะเร็ง
มะเร็งปอดแบ่งออกเป็น 2 ชนิดตามขนาดของเซลล์ ซึ่งความแตกต่างของขนาดเซลล์นี้มีความสำคัญ เนื่องจากวิธีการรักษาจะแตกต่างกัน
โรคมะเร็งปอด ชนิดเซลล์เล็ก (small cell lung cancer) พบได้ประมาณ 10-15% เซลล์จะเจริญเติบโตและแพร่กระจายได้รวดเร็วกว่ามะเร็งปอดชนิดไม่ใช่เซลล์เล็ก ทำให้ผู้ป่วยเสียชีวิตได้อย่างรวดเร็ว การรักษาจะไม่ใช้วิธีการผ่าตัด ส่วนมากจะรักษาด้วยการใช้ยาหรือฉายรังสี
โรคมะเร็งปอด ชนิดไม่ใช่เซลล์เล็ก (non-small cell lung cancer) พบได้บ่อยกว่ามะเร็งปอดชนิดเซลล์เล็ก (พบได้ประมาณ 85-90%) แต่จะแพร่กระจายได้ช้ากว่า และสามารถรักษาให้หายได้โดยการผ่าตัดหากพบตั้งแต่เนิ่นๆ
ปัจจัยเสี่ยงของการเกิดมะเร็งปอด ?
ในปัจจุบันยังไม่สามารถระบุสาเหตุที่ชัดเจนที่ทำให้เกิดมะเร็งปอดได้ แต่มีปัจจัยบางประการที่อาจเพิ่มความเสี่ยงของการเกิดมะเร็งปอด เช่น
บุหรี่ ภัยร้ายเงียบๆ ที่(อาจ)เป็นสาเหตุที่ทำให้เกิดมะเร็งปอดมากที่สุด ผู้ที่สูบบุหรี่มีความเสี่ยงที่จะเป็นมะเร็งปอดมากกว่าผู้ที่ไม่สูบบุหรี่ถึง 10-30 เท่า เนื่องจากสารในบุหรี่สามารถทำลายเซลล์ปอด ทำให้เกิดความผิดปกติของเซลล์ โดยความเสี่ยงจะเพิ่มขึ้นตามจำนวนมวนและจำนวนปีที่สูบบุหรี่
การได้รับสารพิษและมลภาวะในสิ่งแวดล้อม เช่น ควันบุหรี่ แอสเบสตอส (asbestos) ก๊าซเรดอน (radon) สารหนู รังสี และสารเคมีอื่นๆ รวมถึงฝุ่นและไอระเหยจากนิกเกิล โครเมียม และโลหะอื่นๆ
อายุ ความเสี่ยงของการเกิดมะเร็งปอดเพิ่มขึ้นตามอายุ โดยทั่วไปความเสี่ยงจะเพิ่มขึ้นหลังอายุ 40 ปี แต่ก็สามารถพบได้ในคนอายุน้อยกว่า 40 ปี
มีประวัติคนในครอบครัวเป็นมะเร็งปอด ผู้ที่มีพ่อแม่พี่น้องเป็นโรคมะเร็งปอด มีความเสี่ยงต่อการเป็นโรคมะเร็งปอดแม้จะไม่ได้สูบบุหรี่
ผู้ที่มีปัจจัยเสี่ยงต่อการเกิดมะเร็งปอดควรพบแพทย์เพื่อขอคำแนะนำในการลดปัจจัยเสี่ยงและวางแผนการตรวจสุขภาพ ส่วนผู้ที่เคยได้รับการรักษามะเร็งปอดมาแล้ว ควรเข้ารับการตรวจสุขภาพหลังการรักษา เนื่องจากอาจมีโอกาสเป็นโรคมะเร็งปอดได้อีก
การตรวจคัดกรองมะเร็งปอด ?
การตรวจคัดกรองจะช่วยให้แพทย์สามารถตรวจพบและรักษามะเร็งได้ตั้งแต่เนิ่นๆ แต่ในปัจจุบันยังไม่มีวิธีการตรวจสอบมะเร็งปอดแบบง่ายหรือด้วยตนเองดังเช่นมะเร็งเต้านม อย่างไรก็ตามมีการตรวจสอบใหม่ที่เป็นการตรวจเอกซเรย์คอมพิวเตอร์แบบใช้ปริมาณรังสีต่ำ (low-dose helical computerized tomography) ซึ่งสามารถนำมาใช้ในการตรวจคัดกรองและวินิจฉัยได้
อาการของโรคมะเร็งปอด ?
โดยทั่วไปแล้วมะเร็งปอดในระยะเริ่มต้นมักไม่แสดงอาการ แต่เมื่อโรคลุกลามแล้ว อาจพบอาการดังต่อไปนี้
หากคุณมีอาการเหล่านี้อาจไม่เกี่ยวเนื่องกับมะเร็ง เนื่องจากมีหลายโรคที่อาจทำให้เกิดอาการเหล่านี้ได้ อย่างไรก็ดี ผู้ที่มีอาการดังกล่าวข้างต้นควรปรึกษาแพทย์เพื่อทำการวินิจฉัยและรักษาโดยเร็วที่สุด
การตรวจเบื้องต้นและการวินิจฉัยมะเร็งปอด ?
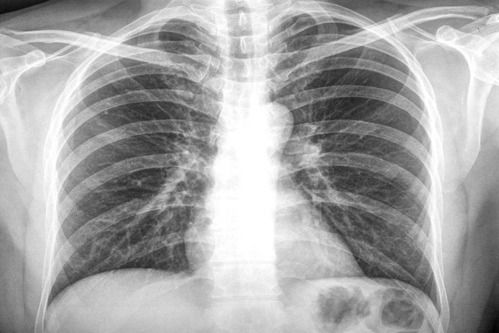
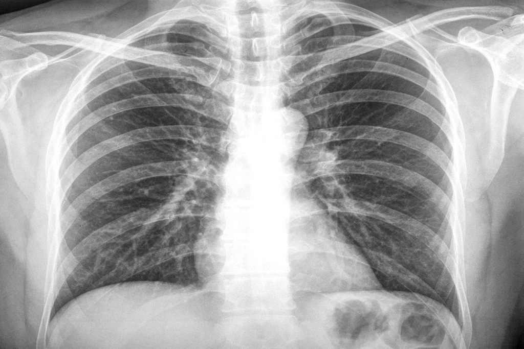
หากมีอาการที่เข้าข่ายของโรคมะเร็งปอด แพทย์จะทำการตรวจร่างกาย ตรวจเสมหะ เอกซเรย์ปอด หากพบความผิดปกติ อาจต้องทำการตรวจเพิ่มเติมเพื่อยืนยันการวินิจฉัย
การตัดชิ้นเนื้อเพื่อวิเคราะห์ (biopsy)
การใช้เข็มขนาดเล็กตัดชิ้นเนื้อ (fine-needle aspiration) แพทย์จะใช้เข็มขนาดเล็กเจาะที่ช่องอกไปยังปอด และดูดตัวอย่างของเหลวเนื้อเยื่อที่สงสัยเพื่อนำมาวิเคราะห์ โดยทั่วไปมักทำพร้อมกับการเอกซเรย์หรือ CT scan เพื่อหาตำแหน่งที่ถูกต้องของเนื้อเยื่อที่ต้องการตรวจสอบ
การส่องกล้องตรวจภายในหลอดลม (bronchoscopy) แพทย์จะทำการสอดท่อขนาดเล็กที่มีไฟผ่านทางจมูกหรือปากเข้าไปสู่ปอด โดยท่อนี้จะสามารถดูดของเหลวหรือตัดชิ้นเนื้อเยื่อที่สงสัยออกมาตรวจวิเคราะห์อย่างละเอียด
การใช้เข็มเจาะช่องเยื่อหุ้มปอดแทงผ่านผนังทรวงอก (thoracentesis) แพทย์จะใช้เข็มเจาะที่ช่องอกบริเวณระหว่างปอดและผนังของช่องอก เพื่อทำการเก็บของเหลวบริเวณดังกล่าวมาตรวจหาเซลล์มะเร็ง
การตรวจช่องกลางทรวงอกโดยการส่องกล้อง (mediastinoscopy) แพทย์จะทำการผ่าตัดบริเวณส่วนบนของกระดูกอก จากนั้นสอดกล้องเข้าไปภายในช่องทรวงอก และนำตัวอย่างเนื้อเยื่อหรือต่อมน้ำเหลืองออกมาตรวจ
การตรวจช่องทรวงอกโดยการส่องกล้อง (thorocoscopy) แพทย์จะใช้กล้องใส่เข้าทางผนังทรวงอกเพื่อตัดก้อนเนื้อจากปอดไปตรวจ
การตรวจวินิจฉัยด้วยรังสี
การตรวจด้วยเครื่องเอกซเรย์คอมพิวเตอร์ (CT scan) และการตรวจโดยใช้คลื่นแม่เหล็กไฟฟ้า (MRI) เป็นวิธีที่ช่วยให้แพทย์หาตำแหน่งและขนาดของก้อนเนื้อที่ผิดปกติในบริเวณปอดได้
การตรวจด้วยเครื่อง PET scan (positron emission tomography scan) เป็นการฉีดโมเลกุลของสารกัมมันตภาพรังสีที่รวมกับน้ำตาลเข้าทางเส้นเลือด เซลล์มะเร็งปอดจะดูดซึมเอาน้ำตาลชนิดนี้ไว้อย่างรวดเร็วและมากกว่าเซลล์ปกติ ทำให้เกิดความแตกต่างของการเรืองแสงเฉพาะเซลล์มะเร็ง
ระยะของมะเร็งปอด ?
ระยะของมะเร็งกำหนดจากตำแหน่งของเซลล์มะเร็ง การแพร่กระจายของมะเร็ง และการทำงานที่ผิดปกติของอวัยวะร่างกาย ระยะของมะเร็งมีความสำคัญต่อการรักษา เพราะจะช่วยให้แพทย์หาวิธีการรักษาที่เหมาะสม ส่งผลต่อการหายของโรคหรือการมีชีวิตที่ยืนยาวหรือดำรงชีวิตได้ดีขึ้น
ระยะของมะเร็งปอดชนิดเซลล์เล็ก แบ่งเป็น 2 ระยะ ได้แก่
ระยะจำกัดของขนาดมะเร็ง (limited stage) เป็นระยะที่มะเร็งจะอยู่ในบริเวณปอดเท่านั้น
ระยะการแพร่กระจาย (extensive stage) เป็นระยะที่มะเร็งได้แพร่กระจายไปยังส่วนอื่นๆ ของร่างกาย
ระยะของมะเร็งปอดชนิดไม่ใช่เซลล์เล็ก แบ่งเป็น 4 ระยะ
การรักษามะเร็งปอด ?
สิ่งสำคัญของการรักษามะเร็งปอด คือ การพิจารณาตำแหน่ง ขนาด และระยะของเซลล์มะเร็ง รวมถึงสภาพร่างกายและจิตใจของผู้ป่วย
การผ่าตัด
มีเป้าหมายเพื่อผ่าเอาก้อนมะเร็งที่ปอดและต่อมน้ำเหลืองที่ช่องอกออกให้หมด ซึ่งบางครั้งก้อนเนื้อนั้นอาจไม่ใช่เซลล์มะเร็งทั้งหมดก็ได้
โดยทั่วไปไม่ใช้ในการรักษามะเร็งปอดชนิดเซลล์เล็กซึ่งมักมีการแพร่กระจายตัวของเซลล์มะเร็งอย่างรวดเร็ว
วิธีนี้ใช้ในการรักษามะเร็งปอดชนิดไม่ใช่เซลล์เล็ก ในระยะที่ 1, 2 และ 3A
การฉายรังสี (radiotherapy)
เป็นการใช้พลังงานรังสีที่มีความเข้มข้นฉายไปยังตำแหน่งของเซลล์มะเร็งเพื่อทำลายกลุ่มก้อนเซลล์มะเร็งนั้น
วิธีนี้ใช้ไม่ได้ผลกับระยะมะเร็งที่มีการแพร่กระจายไปยังอวัยวะส่วนต่างๆ แล้ว
การฉายรังสีใช้เวลาไม่นานและไม่ทำให้เจ็บปวด แต่อาจทำให้เกิดผลข้างเคียง เช่น กลืนลำบาก อ่อนเพลีย เบื่ออาหาร ระคายเคืองผิวหนังบริเวณที่ฉายรังสี
การให้ยาเคมีบำบัด (chemotherapy) เป็นการใช้ยากำจัดและยับยั้งการเจริญเติบโตของเซลล์มะเร็งที่มีอยู่ทั่วร่างกาย โดยทั่วไปยาเคมีบำบัดที่ใช้กับมะเร็งปอดเป็นรูปแบบยาฉีดเข้าเส้นเลือด
การรักษาแบบเฉพาะเจาะจง (targeted therapy)
เป็นการรักษาโดยการใช้ยาที่ออกฤทธิ์เฉพาะเจาะจงต่อเซลล์มะเร็ง โดยไม่ส่งผลต่อเซลล์ปกติ
ให้ประสิทธิผลในการรักษาและไม่ทำให้เกิดอาการข้างเคียงเหมือนเช่นยาเคมีบำบัด
การรักษาด้วยการผสมผสาน โดยทั่วไปการรักษามะเร็งจะใช้มากกว่าหนึ่งวิธีขึ้นไป ผู้ป่วยควรทำความเข้าใจเกี่ยวกับการรักษาและผลข้างเคียงของแต่ละวิธี เพื่อให้ความร่วมมือในการรักษาให้ได้ประสิทธิภาพสูงสุด
การดูแลตนเองภายหลังการรักษา ?
หากยังสูบบุหรี่อยู่ ควรหยุดทันที
เมื่อผู้ป่วยเริ่มมีอาการดีขึ้น ควรออกกำลังกายด้วยการเดินอย่างน้อยวันละ 15-30 นาที เพื่อส่งเสริมการทำงานของปอดและหัวใจให้ดีขึ้น
พบแพทย์ตามนัดอย่างสม่ำเสมอ เพื่อป้องกันการกลับมาเป็นซ้ำและป้องกันการเกิดมะเร็งที่อวัยวะอื่น
โรคมะเร็งปอด เป็นโรคที่เกิดขึ้นได้จากหลายสาเหตุ นอกจากการสูบบุหรี่แล้วยังมีปัจจัยอื่นอีก มาดูกันดีกว่าว่ามีอะไรบ้างสัญญาณเตือนของโรคนี้คืออะไร พร้อมวิธีการดูแลสุขภาพให้ห่างไกลโรคนี้!!
วิธีสังเกตสัญญาณเตือนโรคมะเร็งปอด
การสังเกตอาการของโรคมะเร็งปอดสามารถสังเกตได้จากอาการของระบบทางเดินหายใจและอื่นๆ
อาการของระบบทางเดินหายใจ เช่น
- อาการไอเรื้อรัง อาจมีหรือไม่มีเสมหะก็ได้
- อาการไอเป็นเลือด
- หอบเหนื่อย หายใจลำบากเนื่องจากก้อนมะเร็งโตขึ้น ทำให้เนื้อที่ปอดสำหรับหายใจเหลือน้อยลง หรือก้อนมะเร็งนั้นกดเบียดหลอดลม
- เจ็บหน้าอกเวลาหายใจ
- ปอดอักเสบ มีไข้
ซึ่งอาการเหล่านี้อาจเกิดจากโรคอื่นที่เกี่ยวกับปอดได้เช่นกัน บางทีอาจไม่ใช่อาการของมะเร็งปอดเสมอไป
มะเร็งปอด...มี่กี่ชนิดกันแน่ !!
1. มะเร็งปอดชนิดเซลล์เล็ก (Small cell lung cancer)
มะเร็งชนิดนี้พบประมาณร้อยละ 10-25 ของมะเร็งทั้งหมด ส่วนใหญ่พบบริเวณใกล้ขั้วปอดมากกว่าบริเวณชายปอด เป็นชนิดมะเร็งที่แพร่กระจายเร็วและอาจสร้างสารเคมีบางอย่าง ทำให้เกิดการผิดปกติของระบบต่อมไร้ท่อ (ฮอร์โมน) ในร่างกายได้ มะเร็งชนิดนี้มักตอบสนองต่อการรักษาด้วยยาเคมีบำบัดและรังสีรักษาได้ดี
2. มะเร็งปอดชนิดเซลล์ไม่เล็ก (Non-small cell lung cancer)
มะเร็งชนิดนี้พบประมาณร้อยละ 75-90 ขอมะเร็งปอดทั้งหมด มักมีการดำเนินโรคที่ช้ากว่า มีโอกาสตรวจพบโรคในระยะต้นได้มากกว่ามะเร็งปอดชนิดเล็ก ถ้าพบในระยะแรก การรักษาหลักคือการผ่าตัดเอาก้อนมะเร็งและต่อมน้ำเหลืองออก บางรายอาจให้การรักษาร่วมกับการให้ยาเคมีบำบัดหรือใช้รังสีรักษาอาการแสดงเบื้องต้นของคนที่มีความเสี่ยงเป็นโรคมะเร็งปอด
การรักษามะเร็งปอด
1. ผ่าตัด (Surgery) ใช้สำหรับการรักษามะเร็งในระยะแรกที่ยังไม่มีการแพร่กระจาย ขนาดก้อนที่ไม่ใหญ่เกินไป จะมีการกระจายไปต่อมน้ำเหลืองใกล้ๆ และไม่มีการยึดติดกับอวัยวะสำคัญต่างๆ เนื่องจากเป็นวิธีการที่ทำให้ผู้ป่วยหายขาดจากโรคได้
2. ฉายรังสี (Radiology) เป็นวิธีการรักษาเฉพาะที่เช่นเดียวกับการผ่าตัด เหมาะสำหรับ
a. ผู้ป่วยระยะแรกที่ไม่สามารถเข้ารับการผ่าตัดได้
b. ผู้ป่วยมะเร็งปอดระยะลุกลามเฉพาะที่ โดยใช้ร่วยกับยาเคมีบำบัด ซึ่งเป็นการรักษาเพื่อหวังผลหายขาด
c. ใช้เป็นการรักษาเสริมหลังการผ่าตัดในผู้ป่วยระยะที่ 3 ที่มีข้อบ่งชี้เพื่อเพิ่มผลการควบคุมโรคที่ดี
d. ใช้เป็นการรักษาประคับประคอง บรรเทาอาการปวดกระดูก บรรเทาอาการในกรณีที่มะเร็งมีการกระจายไปยังสมอง
e. ใช้เป็นการรักษาป้องกัน เช่น การฉายรังสีที่ศีรษะ เพื่อป้องกันโรคกระจายมาที่สมอง
3. ยาเคมีบำบัด (Chemotherapy) เป็นการให้ยาที่สามารถทำลายเซลล์มะเร็ง โดยการฉีดหรือผสมสารละลายหยดเข้าไปทางหลอดเลือด ซึ่งตัวยาจะผ่านเข้าไปในระบบไหลเวียนเลือดและเข้าสู่เซลล์มะเร็งทางเส้นเลือดที่ไปเลี้ยงก้อนมะเร็ง
4. ยามุ่งเป้า (Targeted therapy) เป็นวิธีการรักษามะเร็งโดยมีเป้าหมายเพื่อยับยั้งโปรตีนซึ่งเป็นส่วนสำคัญในการควบคุมกลไกการเกิดมะเร็ง โดยวิธีการให้ยารับประทาน มีผลข้างเคียงน้อยและได้ผลดีในผู้ป่วยที่ได้รับการตอบสนองต่อการรักษา มักใช้เป็นการรักษาสำรอง เมื่อล้มเหลวจากการให้ยาเคมีบำบัด
5. ภูมิคุ้มกันบำบัด (Immunotherapy) การผสมยากับสารละลายแล้วหยดเข้าไปทางหลอดเลือด หวังผลเพื่อกระตุ้นให้ภูมิคุ้มกันของร่างกายให้สามารถกลับมาทำงานได้เป็นปกติ มีผลข้างเคียงน้อยกว่าการรักษาด้วยยาเคมีบำบัด มักใช้เป็นการรักษาสำรอง เมื่อล้มเหลวจากการให้ยาเคมีบำบัด
***
ขอขอบคุณที่มา และเอกสารอ้างอิง
Reference :
ทำความรู้จักกับมะเร็งปอด (Lung Cancer), โรงพยาบาลศิริราชปิยมหาราชการุณย์ http://www.siphhospital.com/th/news/article/share/621/Lungcancer
มะเร็งปอด, https://www.roche.co.th/th/disease-areas/lung-cancer.html
มะเร็ง สาเหตุการตายอันดับ 1 ของคนไทยมากว่า 20 ปี, https://www.pptvhd36.com/news/%E0%B8%9B%E0%B8%A3%E0%B8%B0%E0%B9%80%E0%B8%94%E0%B9%87%E0%B8%99%E0%B8%A3%E0%B9%89%E0%B8%AD%E0%B8%99/115649
คณะแพทยศาสตร์ 4 สถาบันเสนอนโยบายสู้มะเร็งที่ถูกต้องลดการเสียชีวิต, https://www.posttoday.com/pr/597295
อัตราการตายโรคมะเร็งปอด, https://www.hiso.or.th/hiso/visualize/Index.php?links=v235
5 วิธีการรักษามะเร็ง, http://www.siphhospital.com/th/news/article/share/231
Heim D et al. Int J Cancer 2014; 135: 2362–2369
Baumgart M et al. Am J Hematol Oncol 2015: 11: 10–13
Schwaederle M, Kurzrock R. Oncoscience 2015; 2: 779–780.
อัปเดตข่าวล่าสุด 27/7/2565
ขอขอบคุณข้อมูลจาก ศูนย์มะเร็งตรงเป้า – โรงพยาบาลจุฬารัตน์ 9 แอร์พอร์ต
อ้างอิงข้อมูล : สถาบันมะเร็งแห่งชาติ ,กรมการแพทย์ อัปเดตข่าวล่าสุด 7/11/2565