
24 มกราคม 2565 รศ.นพ.ธีระ วรธนารัตน์ หรือ “หมอธีระ” คณะแพทยศาสตร์ จุฬาลงกรณ์มหาวิทยาลัย โพสต์ในเพจเฟซบุ๊ก “ThiraWoratanarat” เผยข้อมูลอาการ Long COVID มีความรุนแรง โดยพบในเพศหญิงมากกว่าชาย มีเนื้อหาดังนี้..
New York Times มีบทความที่สรุปธรรมชาติของโรคโควิด-19 ได้ดี Anthes E และ Corum J นำเสนอภาพต่างๆ เพื่ออธิบายสรุปเมื่อวันที่ 24 มกราคม 2022
ตอนนี้ที่ทั่วโลกวิเคราะห์ว่าจะเป็นปัญหาท้าทายในอนาคตอันใกล้คือ ภาวะอาการคงค้างหลังจากติดเชื้อโรคโควิด-19 ที่เราทราบกันในชื่อว่า Long COVID
เพราะงานวิจัยมากขึ้นเรื่อย ๆ ที่ชี้ให้เห็นความเป็นไปได้ที่จะมีการติดเชื้อไวรัสที่แฝงตามเซลล์ในระบบต่างๆ ของร่างกาย และการเกิดภาวะอักเสบเกิดขึ้นในแต่ละระบบ จนทำให้เกิดอาการป่วยเรื้อรัง ทั้งระบบสมอง หัวใจและหลอดเลือด ทางเดินอาหาร ทางเดินหายใจ หรือแม้แต่ระบบต่อมไร้ท่อ ฯลฯ
Long COVID นั้นเกิดได้ทั้งในคนที่ติดเชื้อแล้วไม่มีอาการ อาการน้อย หรืออาการรุนแรง คนที่ป่วยรุนแรงมักมีโอกาสเป็น Long COVID มากกว่า
“ การป้องกันตัวเองอย่างเคร่งครัดจึงสำคัญมาก และควรทำเป็นกิจวัตร ใส่หน้ากากเสมอ อยู่ห่างจากคนอื่นเกินหนึ่งเมตร เลี่ยงการกินดื่มร่วมกัน เลี่ยงการแชร์ของร่วมกัน ”
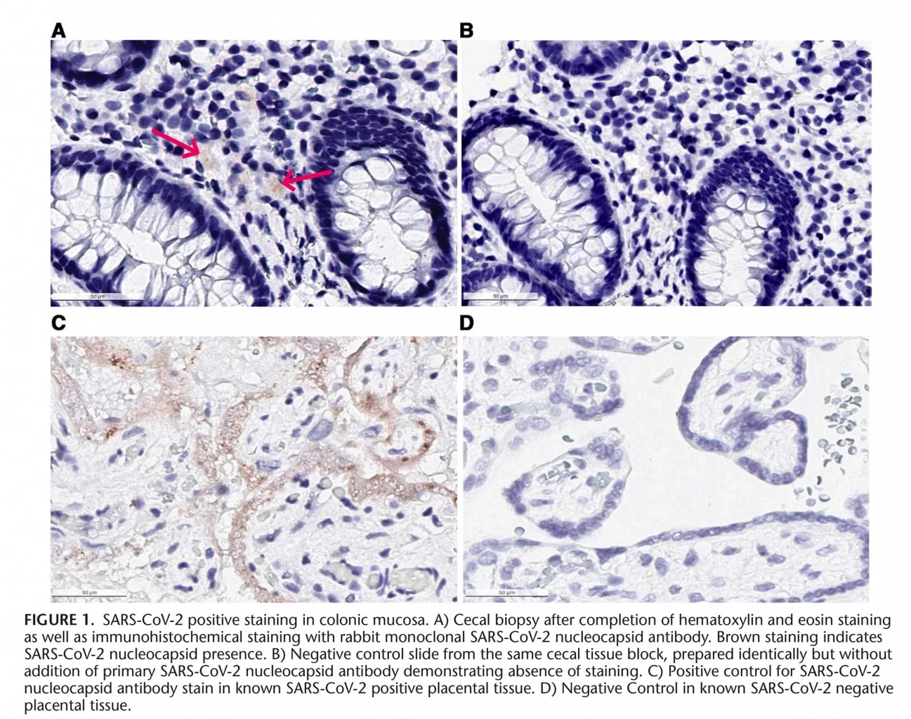
หมอธีระ ยังระบุด้วยว่า พบ เด็กหญิงอายุ 11 ปี ติดโควิด-19 แล้วยังมีอาการคงค้าง Long COVID โดยปวดท้องต่อเนื่องยาวนานกว่า 3 เดือน ตรวจพบว่ามีการอักเสบของลำไส้ใหญ่เรื้อรัง และพบไวรัสในเยื่อบุลำไส้
สมมติฐานหนึ่งของ Long COVID คือ น่าจะมีไวรัสติดเชื้อแบบยาวนานเรื้อรังในระบบต่างๆ ของร่างกาย (Persistent SARS-CoV-2 infection) ดังนั้นการป้องกันตัวเคร่งครัดเป็นกิจวัตรจึงสำคัญมาก ไม่ติดย่อมดีที่สุด