
อีกหนึ่งโพสต์ที่น่าสนใจ รายงานความเคลื่อนไหวทางด้านวิชาการ ล่าสุดผู้สื่อข่าวจับตา ที่เพจเฟซบุ๊ก “หมอมนูญ ลีเชวงวงศ์ FC” หรือ คุณหมอมนูญ ลีเชวงวงศ์ หัวหน้าห้องไอซียูเฉพาะทางด้านโรคระบบการหายใจ ผู้ป่วยหนัก และโรคผู้สูงอายุ ประจำโรงพยาบาลวิชัยยุทธ ได้โพสต์ประเด็นร้อนๆ ที่น่าสนใจ โดยมีใจความระบุว่า
ยารวมเม็ดรักษาวัณโรคไม่ใช่ยาใหม่ มีใช้ในประเทศไทยมานานหลายสิบปี
ไม่เข้าใจว่า
ทำไมปัจจุบันประเทศไทยไม่มียาต้านวัณโรคที่มียาหลายชนิดผสมในเม็ดเดียวกัน ตั้งแต่กลางปี พ.ศ.2564
ยารวมเม็ดมีประโยชน์
ช่วยลดจำนวนเม็ดในการกินยา ลดความคลาดเคลื่อนของการได้รับยา ลดโอกาสเกิดเชื้อวัณโรคดื้อยาภายหลังการรักษา
...
ขณะที่ยาต้านไวรัสเอชไอวี แต่ก่อนต้องกินหลายชนิดแยกเม็ด
ปัจจุบันคนไข้ส่วนใหญ่ได้ยารวมเม็ดแล้ว ทำให้กินง่ายสะดวกขึ้น
คนไข้ของผมมาจากประเทศเขมรได้ยารักษาวัณโรค 4 ชนิด Isoniazid, Rifampicin, Pyrazinamide, Ethambutol (IRZE) รวมในเม็ดเดียวกัน (ดูรูป) กินวันละ 3-4 เม็ด แล้วแต่น้ำหนักตัว คนไทยขณะนี้ต้องกินยารักษาวัณโรค 4 ชนิด บางชนิด 3 เม็ด บางชนิด 2 เม็ด รวมกันแล้ว 8-9 เม็ดต่อวัน แล้วแต่น้ำหนักตัว
ทำไมประเทศเขมร จึงมียารักษาวัณโรครวมเม็ด แต่ไทยไม่มี จำได้ไหมเมื่อต้นปีที่แล้ว ประเทศเขมร ก็มียาโมลนูพิราเวียร์ไว้ใช้รักษาโรคโควิด-19 ก่อนหน้าประเทศไทยหลายเดือน
ย้อนไปอ่านโพสต์ หมอมนูญ ที่เกี่ยวข้องกับประเด็นนี้
28 พฤศจิกายน 2565
นพ.มนูญ ลีเชวงวงศ์ หรือ "หมอมนูญ" เผยข้อมูลหลังโควิด-19 ระบาด รายงานล่าสุดพบผู้ติดเชื้อวัณโรค วัณโรคดื้อยา ป่วยเสียชีวิตจากวัณโรคทั่วโลก กลับมาเพิ่มขึ้นครั้งแรกในรอบ 20 ปี
นพ.มนูญ ลีเชวงวงศ์ แพทย์เฉพาะทางด้านโรคระบบการหายใจ โรงพยาบาลวิชัยยุทธ โพสต์ ข้อความผ่านเฟซบุ๊ก หมอมนูญ ลีเชวงวงศ์ FC โดยระบุว่า
องค์การอนามัยโลก ออกแถลงการณ์เมื่อเร็วๆ นี้ว่า เป็นครั้งแรกในรอบ 20 ปี หลังจากมีการแพร่ระบาดของโรคโควิด-19 ที่จำนวนผู้ติดเชื้อวัณโรค วัณโรคดื้อยา และจำนวนผู้ป่วยเสียชีวิตจากวัณโรคทั่วโลก กลับมาเพิ่มขึ้น
ทั้งที่ก่อนหน้านี้มีการลดลงช้าๆ อย่างต่อเนื่อง เนื่องจากการวินิจฉัยและการรักษาวัณโรคทำได้ช้าลง ส่งผลให้ผู้ป่วยวัณโรคแพร่เชื้อให้กับคนรอบตัวได้มากขึ้น
ผู้ป่วยชายอายุ 57 ปี เป็นโรคเบาหวาน ไอ เสมหะสีขาวขุ่น บางครั้งมีเลือดปน มีเหงื่อออกกลางคืน เหนื่อยง่าย มีไข้ต่ำๆ น้ำหนักลด 8 กิโลกรัมใน 1 เดือน สูบบุหรี่วันละ 1 ซอง ไม่มีคนในครอบครัวเป็นวัณโรค ตรวจร่างกาย ฟังปอดปกติ เอกซเรย์ปอดมีโพรงเล็กๆในปอดข้างขวาบน มีก้อนเล็กๆ หลายก้อนกระจายในปอดทั้ง 2 ข้าง
ส่งเสมหะย้อม และเพาะเชื้อ พบเชื้อวัณโรค ทดสอบความไวต่อยา ไม่ดื้อต่อยาต้านวัณโรค ตรวจเลือดไม่ติดเชื้อ HIV เริ่มให้ยารักษาวัณโรค ผู้ป่วยไม่แพ้ยารักษาวัณโรค หลังกินยา 1 เดือน ไอน้อยลง ไข้ลง เอกซเรย์ปอดดีขึ้น จะให้กินยารักษาวัณโรคต่อเนื่องจนครบ 6 เดือน
อีกหนึ่งโพสต์สุดเศร้า จากการระบาดโควิด-19 ที่ คุณหมอมนูญ ได้โพสต์ให้ความรู้ไว้ก่อนหน้านี้
..
ช่วงโรคโควิดแพร่ระบาด คนกลัวไม่กล้าออกนอกบ้าน ไม่มาตรวจร่างกายประจำปี ทำให้หลายคนพลาดโอกาส ตรวจพบมะเร็งระยะต้น มาพบอีกครั้งเป็นมะเร็งระยะสุดท้าย สายเกินไป ช่วยไม่ทันแล้ว ทั่วโลกประสบปัญหาเดียวกันช่วงการแพร่ระบาดของโรคโควิด คนเสียชีวิตจากมะเร็งเพิ่มขึ้นมากเพราะได้รับการวินิจฉัยช้าไป
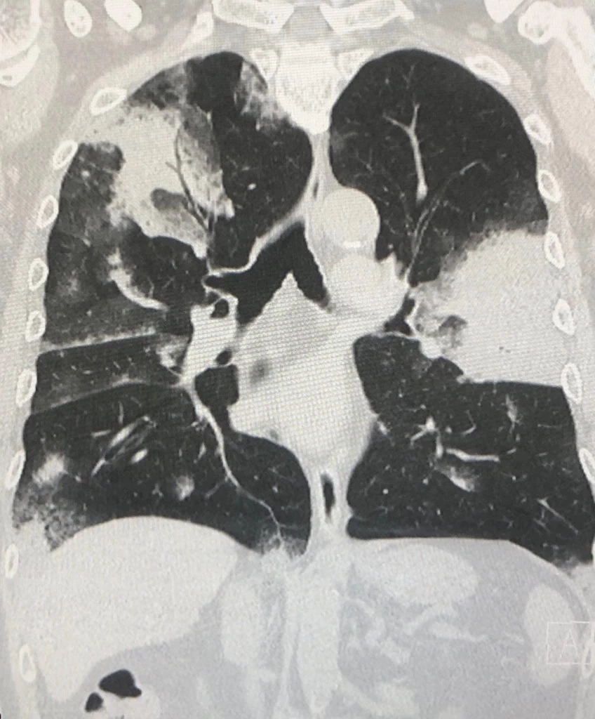
ผู้ป่วยชายอายุ 70 ปี เป็นเบาหวาน ความดันสูง เคยสูบบุหรี่ 1 ซองต่อวัน หยุดสูบมา 10 ปี
บ้านอยู่จังหวัดสงขลา ปกติมาตรวจร่างกายประจำทุกปี แต่ช่วงโควิดแพร่ระบาด ไม่ได้เดินทางมาตรวจร่างกายมากกว่า 2 ปี
เริ่มไอแห้งๆ 3 สัปดาห์ เบื่ออาหารน้ำหนักลด 2 กิโลกรัม เหนื่อยบ้าง มาพบแพทย์วันที่ 3 ตุลาคม 2565
ตรวจร่างกาย ผอมลง เอกซเรย์ปอดมีฝ้าขาวทั้ง 2 ข้าง (ดูรูป) เอกซเรย์ปอดครั้งก่อนวันที่ 18 กุมภาพันธ์ 2563 ปกติ (ดูรูป) ทำคอมพิวเตอร์ปอดเห็นฝ้าขาวทั้งปอดซ้ายและปอดขวา (ดูรูป) ค่ามะเร็ง CEA ในเลือดสูง 7.4 เจาะชิ้นเนื้อจากปอดด้านซ้าย ส่งตรวจไม่พบเชื้อวัณโรค ไม่พบเชื้อรา ตรวจทางพยาธิวิทยา พบเป็นมะเร็งปอดชนิด adenocarcinoma
สรุป: ผู้ป่วยเป็นมะเร็งปอดระยะสุดท้าย ส่งตรวจพิเศษไม่พบยีนกลายพันธุ์ ใช้ยามุ่งเป้าและภูมิคุ้มกันบำบัดไม่ได้ ผู้ป่วยไอ และเหนื่อยมากขึ้น ต้องใช้ออกซิเจนตลอดเวลา ให้เคมีบำบัดครั้งแรกแต่รับไม่ไหว เสียชีวิตอย่างสงบในรพ.วันที่ 20 พฤศจิกายน 2565